치과진료 현장에서는 보호자들로부터 자녀의 치아 개수 이상에 관한 문의를 자주 접하게 됩니다.
“우리 아이의 치아가 정상보다 많다고 하는데 문제가 없을까요?” 또는 “치아 개수가 부족하다는 진단을 받았는데 어떤 조치가 필요한가요?”와 같은 질문들입니다.
치아 개수의 이상, 즉 과잉치나 선천적 결손치는 소아 환자에서 종종 관찰되는 치아 발달 이상 중 하나입니다. 이러한 상태는 조기 발견과 적절한 관리가 중요합니다.
1. 과잉치
과잉치는 말 그대로 정상적인 치아 개수(유치는 20개, 사랑니 포함 영구치는 32개)를 초과하여 추가로 나타나는 치아입니다. 전체 인구의 약 1~3%에서 발견될 정도로 드물지 않은 현상입니다.
과잉치는 성별과 인종에 따라 발생 빈도가 다르며, 여아보다 남아에서 약 2배 더 흔하게 발생합니다. 또한 서양인보다 동양인에서 발생률이 다소 높게 보고되고 있습니다. 전체 과잉치의 80-90% 이상이 아래턱보다는 위턱에서 주로 발견되며, 특히 위턱의 앞니 중앙 부위에서 가장 흔하게 나타납니다. 이 부위에 생기는 과잉치를 정중과잉치(me-siodens)라고 부릅니다. 그 외 부위에서도 발견될 수 있습니다.과잉치는 맹출 방향에 따라 정상방향, 역위(inverted), 수평위(hori-zontal) 등으로 구분할 수 있으며, 1/4 정도만이 자발적으로 잇몸 밖으로 맹출합니다. 대부분의 과잉치는 턱뼈 내에 매복된 상태로 남아 있습니다.

과잉치로 인한 합병증
과잉치는 방치할 경우 여러 가지 문제를 일으킬 수 있어 세심한 관찰과 적절한 치료가 필요합니다. 과잉치가 가장 흔히 일으키는 문제는 영구치의 맹출 방해입니다. 과잉치가 있으면 정상적인 영구치가 제대로 올라오지 못할 수 있으며, 특히 앞니 부위에 매복되어 있는 정중과잉치는 위 영구치 앞니가 정상적으로 나오는 것을 막아 치아 배열에 문제를 일으킬 수 있습니다. 또한 앞니 사이에 위치한 과잉치는 두 앞니를 밀어내어 치아 사이에 틈을 만들 수 있는데, 이를 정중이개라고 하며 심미적인 문제를 야기할 수 있습니다.
더 나아가 과잉치 주변에는 물혹인 낭종이 생길 수 있으며, 이 낭종이 커지면 주변 뼈를 파괴하고 인접한 치아들을 밀어내어 영구치의 변위를 일으킬 수 있습니다.

치료 전략
과잉치의 치료는 외과적 수술을 통해 제거하는 것입니다. 발치 시기는 과잉치가 영구치의 맹출을 명확히 방해하거나 낭종 형성 등의 병리적 문제가 있을 때 조기 발치를 적극적으로 고려합니다. 그 외에는 정기적인 방사선 촬영을 통해 과잉치의 상태와 주변 영구치의 발육 정도를 평가하여 주변 영구치의 뿌리가 충분히 성장한 이후 수술을 결정합니다.
수술적 접근법은 과잉치의 위치와 맹출 방향에 따라 다르며, 과잉치가 매우 깊이 매복되어 있는 경우에는 전신마취 하에 발치를 시행하기도 합니다. 또한 발치 후에는 정기적인 추적관찰을 통해 영구치의 맹출 상태를 지속적으로 평가해야 합니다. 아이의 협조도가 좋은 경우 국소마취 하에 발치를 시행할 수 있으나, 연령이 어리거나 치과치료에 대한 불안감이 높은 아이, 또는 수술의 난이도가 높은 경우에는 진정법이나 전신마취를 활용하여 아이에게 심리적 안정감을 제공하면서 안전하고 효과적으로 수술을 진행할 수 있습니다.

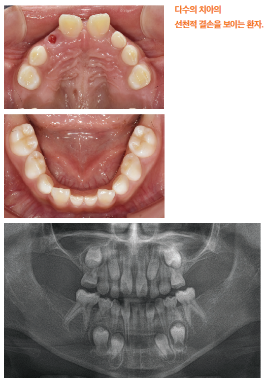
2. 선천성 결손치
선천성 결손치란 태어날 때부터 영구치가 하나 이상 없는 상태를 의미하며, 사랑니(제3대구치)를 제외한 정상적인 28개의 영구치 가운데 일부 치아가 결손된 경우를 말합니다. 이는 치아의 발생 과정 중 치배 형성에 문제가 생겨 발생하게 됩니다. 결손된 치아의 수에 따라 일부 치아가 결손된 경우를 부분무치증(hypodontia), 6개 이상의 치아가 결손된 경우를 oligodontia, 그리고 모든 치아가 결손된 경우를 완전무치증(anodontia)으로 분류합니다. 이 중 oligodontia와 완전무치증은 비교적 드물게 나타납니다.
대한소아치과학회는 oligodontia와 anodontia를 치과적 희귀질환으로 분류하고 있으며, 이러한 환자들이 많지 않아 정확한 환자군 구축과 연구가 매우 필요합니다. 이에 이건희 소아암 희귀질환 재단의 지원을 받아 전국의 소아치과학교실 및 대학병원 연구진이 협력하여 발육장애성 희귀질환 코호트 구축 연구를 진행하고 있습니다. 본 연구에서는 결손치를 가진 환자들의 임상적 특성과 양상, 사회•경제적 부담 등을 조사하여, 향후 이들을 위한 제도적 지원 마련에 기여하고자 합니다.

발생 원인
선천성 결손치의 발생 원인은 매우 복잡하며 유전적 요인과 환경적 요인이 복합적으로 작용하는 것으로 알려져 있습니다.
유전적 요인으로는 MSX1, PAX9 등의 유전자 변이가 치아 발생 과정에서 역할을 하는 것으로 알려져 있습니다. 환경적 요인으로는 임신 중 감염, 방사선 노출, 약물 복용 등이 있으며 외배엽 이형성증과 같은 전신적인 증후군의 일부로 나타나기도 합니다.
치료 전략
선천성 결손치의 치료는 환자의 나이, 결손 부위와 수, 잔존 치아의 상태, 안모 형태, 경제적 여건 등을 종합적으로 고려하여 개별화된 치료 계획을 세우는 것이 필요합니다.
공간 폐쇄 - 주로 교정 치료를 통해 이루어지며 특히 소구치 결손이나 상악 측절치 결손의 경우 효과적입니다.
공간 유지 후 보철 수복 - 성장이 완료된 후 시행하는 것이 원칙입니다. 성장기에서는 가철식 공간유지장치나 가철식 의치 등을 사용하여 공간을 유지하고, 성장 완료 후 고정성 보철물이나 임플란트 수복을 시행합니다. 이 경우 치아의 배열을 위한 교정치료가 선행되는 경우도 있습니다.
3. 치아발육이상 - 조기 진단과 관리의 중요성
치아의 발육이상을 조기에 발견하고 관리하는 것은 매우 중요합니다. 이를 위해서는 만 5~7세경 파노라마 방사선 사진 촬영을 통해 치아 개수나 형태의 이상 유무를 확인해야 합니다. 이 시기의 방사선 검사는 대부분의 과잉치나 선천성 결손치를 조기에 발견하는 데 효과적입니다.
치아발육이상을 조기에 진단하면 여러 가지 이점이 있습니다.
첫째, 적절한 치료 시기를 놓치지 않을 수 있습니다. 특히 과잉치를 조기에 발견하면 인접 영구치가 정상적으로 맹출하도록 도울 수 있고, 결손치가 있을 경우에는 공간 소실을 미리 예방할 수 있습니다.
둘째, 발육이상과 관련된 합병증을 예방할 수 있습니다. 과잉치가 방치되면 낭종 형성이나 주변 치아의 치근 흡수 등으로 이어질 수 있고, 결손치를 방치할 경우 교합이 틀어지는 등 다양한 문제가 발생할 수 있습니다.
셋째, 장기적이고 포괄적인 치료 계획을 세울 수 있습니다. 성장기를 이용한 교정치료나 향후 필요한 보철치료 등의 계획을 미리 준비할 수 있습니다.
또한 보호자들도 아이들의 치아 상태를 세심히 관찰할 필요가 있습니다. 부모님은 아이의 유치와 영구치의 교환 시기가 정상 범위를 벗어나면 검진을 받아야 합니다. 더불어 치아가 비정상적인 위치에서 맹출하거나 형태가 이상한 경우에도 즉시 전문가의 진단을 받아야 합니다.
과잉치와 선천성 결손치 모두 조기 발견과 적절한 시기의 치료가 매우 중요합니다. 따라서 주기적인 치과 검진을 통해 이상 징후를 발견하면 즉시 치과의사와 상담하시기 바랍니다.





























